病理診断科
概要
病理診断科は診療に直接役立つ臨床医学として病理学から独立しました。病理診断科は医師法の施行細則の改正(平成20年4月)により新しく認められた診療科です。
スタッフ構成
病理専門医2名 臨床検査技師(細胞検査士)2名
業務内容
病理診断科では臨床医によって採取された生検組織や手術検体の組織診断や細胞診断を行います。病理診断は最も信頼される病気の最終診断です。とくに重要な仕事は“がん”の確定診断です。
| 手術中の迅速診断 | 手術中に行う迅速診断では、癌が完全に切除できているか?リンパ節に転移はないか? など顕微鏡で確認を行います。 |
|---|---|
| 術後の組織診断 | 手術された臓器の病変の確定診断や進行度、悪性腫瘍の切除が完全であるかなどを調べ、術後の治療の方針を決めます。 |
| 生検組織診断 | 内視鏡的に採取した病変(胃や腸など)の確定診断を行います。 特に癌の有無。 |
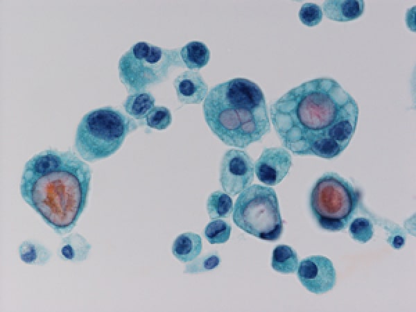
- 症例1

-
上の写真は胃癌患者の腹水の癌細胞(細胞診)
胃癌の手術後3年目に腹水に気付きました。
腹水の細胞診で癌の再発と診断されました。
- 症例2

-
便の潜血が陽性のため大腸の内視鏡検査を行いました。
ポリープが見つかり病理検査で癌と診断されました。
(左半分が癌、右半分は正常粘膜)
病理検査の報告までの日数
早期に治療が行われるよう、正確に、できるだけ早く結果を返すように心がけています。
- (1) 2、3日後に(1週間前後の場合もあります)報告されます。
- (2) 手術標本の診断は1週間前後で報告されます。(2週間以上の場合もあります)
診断の実績
組織検査件数(迅速組織診断)
| 2021年 | 2,221(4)件 |
|---|---|
| 2022年 | 2,556(10)件 |
| 2023年 | 2,337(11)件 |
設備と機器
- (1).自動免疫組織化学染色装置(VENTANA)
- (2).自動包埋装置(Tissue Tek)
- (3).包埋センター(Tissue Tek)
- (4).自動染色装置(Tissue Tek)
- (5).自動封入装置(Tissue Tek)
- (6).自動細胞収集装置(CytoTek)
- (7).ディスカッション顕微鏡(NIKON)
医師・スタッフ紹介
加藤 雅子
- 専門領域
- 病理学
- 認定資格
-
医学博士
日本病理学会専門医
細胞診専門医
死体解剖資格認定医
- メッセージ
-
病理診断科の中核的業務は、病気を最終診断することです。
具体的には、生検、または手術で切除された病変から組織標本を作製し、標本を顕微鏡下で診断いたします。採取した検体の細胞形態そのままを検鏡する細胞診断も実施しています。病理診断結果および細胞診断結果は、病理診断報告書、細胞診断報告書として担当の臨床の主治医に報告されます。電子カルテの導入により迅速な情報の共有が瞬時に可能となっています。最終的には、担当の臨床の主治医から最終診断結果の説明が患者になされます。また、亡くなられた方の人生の最終診断である病理解剖も実施しています。
これらの業務の遂行にはチームワークが必要であり、細胞診・病理組織標本作製、病理組織診断、細胞診断は、臨床検査技師(細胞検査士)2名、病理専門医であり細胞診専門医2名が担当しています。問題症例については、スタッフ全員で検討しています。
- 病理診断部門をもつ医療施設
- 病理診断センター
概要
病理診断センターは 病理診断科 の外来部門(地域連携)にあたる施設として運営されております。
病理診断部門をもつ医療施設(病院)は平成17年9月から他の医療施設から病理診断業務を受託できることになり、実施しております。
病理診断部門をもつ医療施設(病院)は平成17年9月から他の医療施設から病理診断業務を受託できることになり、実施しております。
お問い合わせ先
お問い合わせ窓口:
姫路中央病院 病理診断センター
- TEL:079-235-7315(直通)
- お電話をいただければご案内をお送りさせていただきます



