脳ドック
脳ドックで分かること
当院の脳ドックでは、脳の梗塞・出血・萎縮・腫瘍性病変、脳内血管の狭窄や閉塞及び、脳動脈瘤の発見や動脈硬化の進行具合などを調べることが可能です。
脳梗塞や脳出血、くも膜下出血などは、一度発症すると、言語障害や麻痺などの重い後遺症をもたらすことも少なくありません。これらの病気は、「発症してから」の治療ではなく、「発症を防ぐための予防」が重要です。当院では、現在、基本コースと精密検査コースの2種類のコースをご用意しております。
脳梗塞や脳出血、くも膜下出血などは、一度発症すると、言語障害や麻痺などの重い後遺症をもたらすことも少なくありません。これらの病気は、「発症してから」の治療ではなく、「発症を防ぐための予防」が重要です。当院では、現在、基本コースと精密検査コースの2種類のコースをご用意しております。
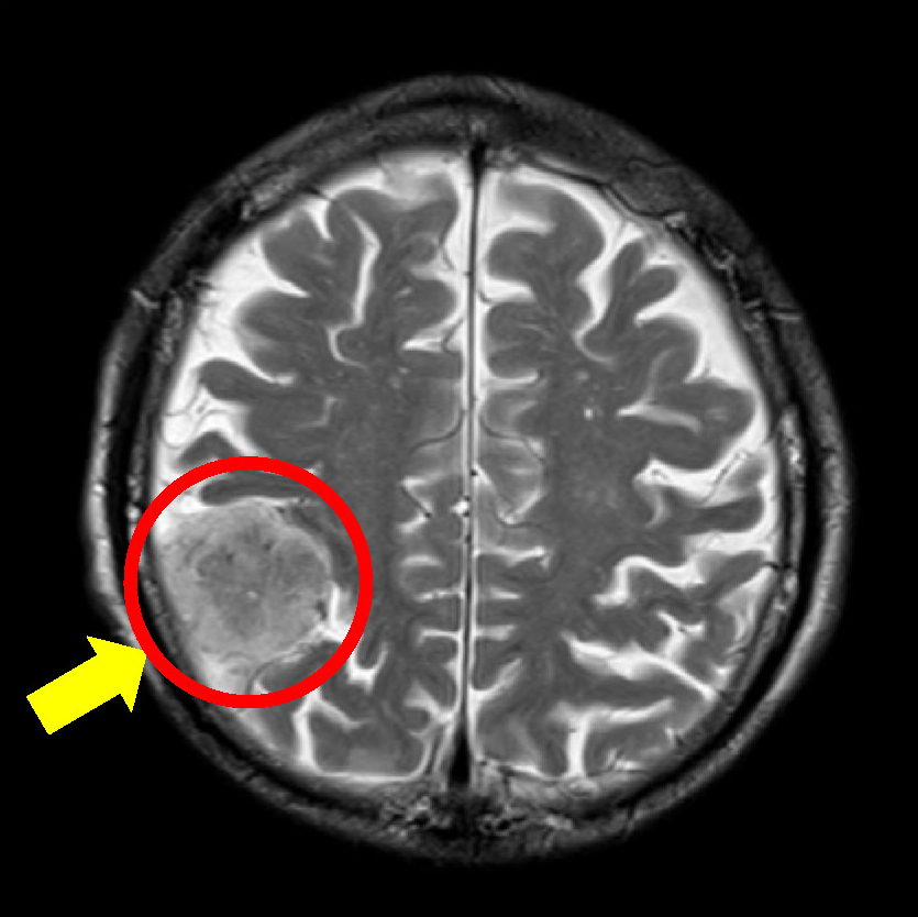
頭部MRI検査での1例
頭部MRI検査とは、脳の断面画像を撮影する検査です。
脳の梗塞・出血・萎縮・腫瘍性病変などを発見することが可能です。
脳の梗塞・出血・萎縮・腫瘍性病変などを発見することが可能です。

脳腫瘍(髄膜腫)
髄膜腫とは、脳やその周りにある髄膜にできた腫瘍のことです。ほとんどの場合が良性腫瘍ですが、まれに悪性腫瘍の場合もあるので、注意が必要です。また、症状がない場合もあり、気づかないうちに大きくなると、まわりの脳神経に影響を与え、頭痛や歩きづらさ、麻痺、失語など様々な症状が現れます。男性に比べて、女性の方が多いのも特徴の1つです。
頭部MRA検査での1例
頭部MRA検査とは、造影剤を用いることなく、脳の血管を立体的に撮影をすることができる検査です。
脳の血管の狭窄や閉塞及び、脳動脈瘤を発見することが可能です。
脳の血管の狭窄や閉塞及び、脳動脈瘤を発見することが可能です。
未破裂脳動脈瘤
未破裂脳動脈瘤とは、脳動脈の壁に瘤のような部分があり、出血などの徴候がない状態のことです。症状がないことが多いのですが、破裂すると「くも膜下出血」を引き起こす可能性もあります。多くの脳動脈瘤の破裂率は高くないため、基本的には、治療を急ぐ必要はございませんが、高血圧の方や喫煙される方は他の方と比べて、破裂しやすいので、注意が必要です。


内頚動脈狭窄
内頚動脈狭窄症とは、大動脈から脳へ血液を送る血管である内頚動脈に狭窄が生じ、血管の流れが滞る病気です。血管の流れが滞ることで、脳梗塞や一過性脳虚血発作などを引き起こす可能性もあります。原因としては、運動不足・肥満・喫煙・アルコールなどの生活習慣が起因していると言われています。
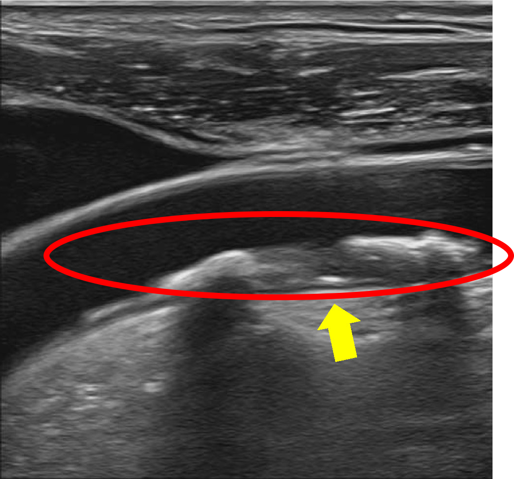
頸動脈エコー検査での1例
頸動脈エコー検査とは、動脈硬化の進行具合を調べることが可能な検査です。
【正常な血管】
血管にプラーク(コレステロールの塊)などがなく、詰まりがない状態

【正常ではない血管】
血管にプラーク(コレステロールの塊)などがあり、血管が狭窄している状態

動脈硬化とは、血管にプラーク(コレステロールの塊)などがたまり、血管が硬くなったり、狭くなったりして血流が悪くなる状態のことです。加齢による老化のほか、高血圧、糖尿病、脂質異常症、喫煙などの危険因子が重なると、発症しやすくなると言われており、進行すると、脳梗塞や心筋梗塞、狭心症などを引き起こしてしまう可能性があります。
こんな方へおすすめ
脳ドックは、脳の疾患を早期発見し、治療を行うことを目的としております。
下記のような方は、特に受診をおすすめします。
下記のような方は、特に受診をおすすめします。
- ◆中・高齢者
- ◆肥満気味の方
- ◆糖尿病の方
- ◆脳卒中の家族歴がある方
- ◆高血圧の方
- ◆脂質異常症の方
- ◆喫煙される方
料金システム・検査項目
| コース名 | 基本コース | 精密検査コース |
|---|---|---|
| 受診料 | 38,500円(税込) | 58,300円(税込) |
| 身長・体重・肥満度・血圧 | 〇 | 〇 |
| 頭部MRI検査 | 〇 | 〇 |
| 頭部MRA検査 | 〇 | 〇 |
| 頸動脈エコー | 〇 | 〇 |
| 血液検査 | - | 〇 |
| 安静心電図 | - | 〇 |

※血液検査の内容は下記になります。
| 脂質 | HDLコレステロール・LDLコレステロール・中性脂肪 |
| 糖尿病 | HbA1c・血糖 |
| 末梢血一般 | 白血球数・赤血球数・血色素量・ヘマトクリット・血小板数 |
| 肝臓 | GOT・GPT・ALP・γ-GTP・総ビリルビン・LDH・コリンエステラーゼ・総蛋白・アルブミン |
| 腎臓 | 尿素窒素(BUN)・クレアチニン・尿酸(UA) |
実施日時
月~土曜日(祝日除く)
所要時間:2時間~2時間半程度
受付時間:10時30分~12時
所要時間:2時間~2時間半程度
受付時間:10時30分~12時
注意事項
食事:基本的に制限はございません。ただし、健診前日の飲酒はお控え下さい。
※精密検査コースをご希望の場合は、血液検査がございますので、健診当日の午前7時頃までに軽めの朝食を取っていただくことは可能ですが、それ以降は絶食して下さい。
また、水・お茶に限っては、水分制限はございませんので、飲んでいただいて構いませんが、糖分を含む飲料水はお控え下さい。
また、水・お茶に限っては、水分制限はございませんので、飲んでいただいて構いませんが、糖分を含む飲料水はお控え下さい。
お薬:現在、糖尿病、その他の病気で治療中の方は、検査当日のお薬の使用について、必ず主治医にご相談下さい。
※下記の項目に該当する方は、MRI検査を受診できない場合がございますので、ご予約の際に必ずご相談下さい。
- ・心臓ペースメーカー、除細動器、刺激電極を埋め込まれている方
- ・人工内耳の方
- ・体内に脳動脈クリップや人工関節などの金属が埋め込まれている方
- ・閉所恐怖症の方
- ・体幹部全体に入墨のある方
- ・妊娠中または妊娠の可能性のある方
※以下のものはあらかじめ外してお越し下さい。
- ・カラーコンタクト・マグネットネイル・ミラーネイル・増毛パウダー・1日タイプの白髪染め
- ・経皮型吸収貼付薬
検査時にお持ちいただくもの
・ご予約票
・問診票
・健康保険証
・問診票
・健康保険証
ご予約方法
ご予約は、姫路中央病院附属クリニック2階PET健診センター受付、お電話で承っておりますので、詳細やご不明な点がございましたら、お気軽にご相談下さい。
- [脳ドック]
完全予約制
お申込み窓口:
姫路中央病院附属クリニック2階健診センター
- TEL:079-235-3600
- 受付時間:月~土 9:00~17:00
※検査予約枠に限りがあり、検査日のご希望に添えない場合がございますが、ご了承願います。
結果について
当日の結果説明はございません。検査終了後から約3週間ほどで結果報告書をご郵送させていただきます。
医師からの結果説明をご希望の場合は、後日改めてご予約をお取りさせていただきます。
医師からの結果説明をご希望の場合は、後日改めてご予約をお取りさせていただきます。
※後日の結果説明をご希望の場合、別途1,500円の受診料が発生いたします。あらかじめご了承ください。



