PET/CT検診 ペア割ご希望のお客様はこちら
PET/CT検査とは
PET(Positron Emission Tomography)検査とは、「陽電子放射断層撮影装置」を用いた検査のことで、腫瘍組織や心臓・脳などの働きを断層画像としてとらえる新しい検査方法です。ブドウ糖を多量に摂取するがん細胞の特性を利用し、細胞がどのような働きをしているかを診ることで、がんの有無や位置、進行具合などのほか、腫瘍の良性・悪性の鑑別などを行うことができます。
がんに対するPET/CT検査では主にFDGというブドウ糖に似た薬剤を用います。このFDGはブドウ糖にポジトロン核種の一つ、フッ素(18F)を結合させた物質です。
これを人体に投与するとブドウ糖の取り込みの盛んな部位、臓器にFDGが取り込まれます。FDGからはγ線が放出されますからこれをPET装置で捉えて画像化できるのです。ブドウ糖は代謝が盛んな脳や肝臓、また排泄経路である腎臓や膀胱に多く集まります。一方病気で取り込みが増える代表的なものは悪性腫瘍です。活発な細胞分裂をする悪性腫瘍、がんは正常の3-8倍のブドウ糖を取り込み、同時に多くのFDGも取り込みます。PETではこれを検出して、体のどの部分にがん細胞があるのか、注射1本で検出することが可能です。
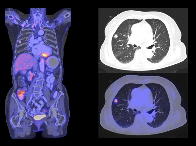
PET/CT検査の仕組み
がん細胞は、正常な細胞に比べて活動が活発なため、3〜8倍のブドウ糖を取り込むという特徴があります。
PET/CT検査は、その特徴を利用してたくさんブドウ糖を取り込んでいる細胞を探し、がんを発見します。

PET/CT検査の特徴
- 1.驚くほど楽
- FDGを静脈注射し全身を撮影するだけで苦痛や不快感はありません。
- 2.全身を診る
- たった一度の撮影で全身の状態を診ることができます。
- 3.がんの早期発見、
がんの転移や再発の発見 - 見つけにくいとされていた「がん」の早期発見が可能です。
また全身検査ですから予想しない遠隔転移や再発の発見が可能です。

- 4. PET/CT検査の限界、弱点
- FDGという薬剤は癌にも集まりますが肺炎、慢性甲状腺炎、胃炎などの炎症性病変や一部の良性腫瘍(甲状腺腺腫、耳下腺腫瘍の一部)などにも集まります。PET/CT検査で数mmの非常に小さなガンまで全て見つかるというわけではありません。またPET/CT検査では見つかりやすいガンと見つけにくいガンがあります。PET/CT検診で胃に異常がなくても胃内視鏡検査あるいはバリウム検査は定期的に受けられることをお勧めします。
- PET/CT検査で見つけやすい癌
- 肺癌、乳癌、頭頚部癌(咽頭、喉頭、甲状腺、舌)、大腸癌、膵臓癌、悪性リンパ腫
- PET/CT検査で見つけにくい癌
- 胃癌、食道の表在癌、泌尿器系悪性腫瘍(腎臓、尿管、膀胱、前立腺)、肝細胞癌、白血病
PET/CT検査の流れ


注射




撮影
(20〜30分)


実施日
月曜日【AM】、火曜日【AM・PM】、金曜日【AM】実施(祝日を除く)
水曜日・木曜日をご希望の方は、当健診センターまでご相談ください。
※PET/CT検査は土曜日実施しておりません。ご了承ください。
料金システム
| コース名 | Basicコース | Basic+αコース |
|---|---|---|
| 受診料 | 122,430円(税込) | 148,720円(税込) |
| PET/CT検査 | 〇 | 〇 |
| 超音波検査(腹部、甲状腺) | – | 〇 |
| 血液検査、便潜血検査(腫瘍マーカー、肝炎、ピロリ菌検査) | – | 〇 |
| 経口内視鏡(胃カメラ) | オプションで選択可(14,300円) ※別日受診※ |
オプションで選択可(14,300円) ※別日受診※ |
| 所要時間 | 2.5時間程度 | 3.5時間程度 |
検査予約日の3営業日前からキャンセル料が発生します。
キャンセル料として、5万円を申し受けます。やむを得ず、予約変更・キャンセルをされる場合は、お早めにご連絡ください。
また、腫瘍マーカー(5項目)の内容は、CEA,AFP,CA19-9,CYFRA,PSA(男性のみ),CA125(女性のみ)となっております。
ご予約方法
- [PET/CT検診]
お申込み窓口:
姫路中央病院附属クリニック2階PET健診センター
- TEL:079-235-3600
- 受付時間:月~土 9:00~17:00
ホームページ上からのご予約も可能です。
PET/CT検診のWEBお申込み
検診日の御希望日を調整し御予約を承ります。
コースの選定には料金システムをクリックしご参考ください。
ご不明な点はお問い合わせください。
- 検査当日
-
クリニック2F PET健診センター受付に、
予約時刻までにお越しください。
PET/CT検診のキャンセルおよび予約変更は、検査予約日の3営業日前までにご連絡ください。
それ以降のキャンセルは、キャンセル料が発生いたします。

医師・スタッフ紹介
- 役 職
- PET健診センター部長
- 専門領域
- 消化器外科、特に消化器・乳腺のがん治療
- 認定資格
- 日本外科学会専門医
日本消化器外科学会認定医
日本消化器内視鏡学会専門医
- メッセージ
- 安全第一をモットーに、鬼手仏心の精神で日々診療にあたっています。
診療は胃癌、大腸癌を中心に消化器癌治療から乳癌治療まで行っています。大腸癌手術では腹腔鏡下手術を積極的に取り入れ、患者さんの質の向上を目指しています。 また毎週水曜日午後には、乳腺専門外来(予約制)を行っていますので、乳腺にお悩みの患者さんはお気軽にご相談下さい。
- 専門領域
- 内科一般、外科
- メッセージ
- 健康診査によって生活習慣病の予防やリスクへの介入、病気の早期発見を目指します。健康診断を通じて地域で生活する人々の福祉や健康増進に寄与できるよう努めてまいります。また、受診者さまに安心して検査を受けていただくため、丁寧な説明を心がけ、疑問や不安を解決できるようにします。



